|
6/14/15 Betsy has been here a little
over three weeks now and she is doing so well! If I didn't know she
had been kept outside her whole life, I would have no idea based on her
behavior now. Betsy loves to snuggle up on the pillows with her toys.
She eats and drinks out of her elevated feeder all by herself and takes
treats very gently. Betsy likes being inside much more than being
outside. She only goes into the crate when she wants to, but it is
always open for her. Betsy has formed trusting relationships with all
four of her furry foster siblings. She started the supplements for her
knees and we are hoping to see positive changes over the next few weeks.
Betsy has only attempted one or two steps at this point.
Betsy is an amazing girl with tons of love to give. You would never
know she was 9 years old. We have posted a new picture of Betsy with
her foster brother, Tyson, an AABR alum who will be turning 9 in July.
6/09/15
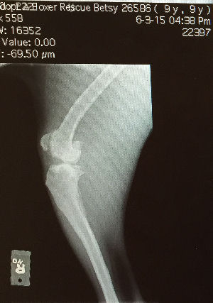
Betsy has a pronounced limp
and her former owner told AABR that she had torn her ACL at some point in
the past. Betsy went to the Veterinary Referral and Emergency Center a
few days ago to have her knees evaluated. We found out that Betsy has
severe arthritis in both knees. It is much worse in the left, but
still very bad in the right also - which is the result of damage to her
ligaments that had never been addressed. Unfortunately, the arthritis
in now irreversible and Betsy is not a candidate for surgery. For the
rest of her many years, she will have to rely on pain management and joint
supplements to maintain a quality of life. Betsy also has corneal
ulcers in both eyes which have healed over, causing vision impairment.
It is sad news for Betsy, but at least her pain can now be addressed and she
will never suffer neglect again.
6/03/15
After living outside on a farm
for 9 years, Betsy continues to make great strides in her foster home.
She is a very young and beautiful 9 year old fawn boxer who is strong and
resilient. Betsy achieves a new milestone almost every day.
After just a few days, Betsy is already drinking water out of her elevated
feeder, taking treats by hand, and settling in nicely with her furry foster
brothers and sister. She loves belly rubs and any attention from
people. Betsy is very gentle with and loves children as well.
She is now completely housebroken and loves rides in the car.
5/27/15
Betsy is doing fantastic in
her foster home. She is housebroken and loves being able to be a part
of the family. Betsy is doing well with the laid back, easygoing males
that she is fostered with. She has even started to play with them.
Betsy is such a love bug. She begs for belly rubs and gives lots of
kisses. Betsy loves children and follows them around for attention.
After living outside her whole life, she has adjusted very quickly.
5/17/15
-
Betsy's owners have had her since she was 8 weeks old, but she has lived
in a kennel outside all of her life. At age 9, Betsy and her 11 yr old
lab brother are being surrendered because their owner is moving. Her
brother has found a lab rescue, but they can't take Betsy with him.
AABR is looking for a foster home that has either no other dogs or a
submissive male. Betsy damaged her left hind ACL about a year ago and
it has healed on its own. She limps, but it doesn't slow her down
much. Please consider fostering or adopting Betsy to show her what the
good life is all about! |
(click pictures to enlarge)













|
|
|
If you are interested in adopting this dog, please first read our Adoption Procedure,
by clicking on the link at the top of this page,
then fill out an
online application.
Boxers and Applicants
are not matched on a first come, first served basis.
Not all applications are approved. On average, it takes
between a week and 3 months to adopt a Rescue Boxer to an
approved applicant, depending
on your personal circumstances and flexibility.
Not every home is
the right match for a boxer, and matching Boxers suitable for placement
with younger children, other dogs, cats, and special
needs, yours and theirs, increases the application review
time and adoption time.
And yes, we
realize that the Boxer you may have your heart set on, may be adopted
before you're approved. Should your first choices all ready
found their forever home, we want you to advise
us at your home visit of other dogs you are interested... Or let
us suggest a few that we feel will match your home.
That is what we are good at. And be happy for the
ones that have been placed... and know that there are way too many
fantastic dogs waiting in their place.
Our non-profit organization is wholly comprised of hard-working volunteers whose only reward is seeing our wonderful
Boxers placed in loving, permanent homes and given another chance for a happy life. Our process may seem slow, but if you are patient, we will try to provide you with a devoted, loving companion - a
Boxer.
We hope you feel that
the right Boxer is worth waiting for.
Adoptions Fee: Please see our adoption info by clicking on the
link at the top of this page. |
|
|